Emaljehypoplasi hos barn: Symptomer, årsaker og behandling


Skrevet og verifisert av tannlegen Vanesa Evangelina Buffa
Tannavvik og tannfeil er lidelser som påvirker mange barn og bekymrer foreldrene deres. Et eksempel på dette er emaljehypoplasi hos barn.
Dette problemet i munnen endrer ikke bare tennenes estetiske utseende, men disponerer også barna for å lide av andre problemer, for eksempel hull eller tannfølsomhet.
Derfor er det viktig å stille en tidlig diagnose og utføre rettidig behandling. På den ene siden for å forbedre livskvaliteten til barnet, og på den andre for å unngå problemer i fremtiden. Fortsett å lese!
Hva er emaljehypoplasi hos barn?
Emaljehypoplasi hos barn er et problem i utviklingen av emaljen. De som lider av denne tilstanden har en eller flere tenner med en lavere mengde av dette vevet eller med lav kvalitet på det.
Generelt skjer det når tennene blir dannet, det vil si før de bryter ut i munnen. Derfor oppdages det ofte i tidlig alder når tennene nettopp har brutt ut.
For bedre å forstå denne lidelsen, er det viktig å vite at emalje er det ytterste og mest overfladiske vevet av tennene. Det består i stor grad av kalsiumkrystaller og andre mineraler, og regnes som det hardeste og mest motstandsdyktige materialet i kroppen. Dens hovedfunksjon er å dekke og beskytte tennene.
Så ved emaljehypoplasi er emaljen utilstrekkelig eller svekket. Som vi skal fortelle deg senere, kan forskjellige faktorer endre utviklingsprosessen til tennene og forårsake dette problemet.
Graden av emaljehypoplasi hos barn varierer i henhold til alvorlighetsgraden av problemet. I noen tilfeller er det veldig tydelig, og andre ganger blir det bare oppdaget av en ekspert i pediatrisk tannpleie. La oss se nærmere på tegnene og symptomene.

Hva er symptomene på emaljehypoplasi hos barn?
Som vi allerede har nevnt, kan alvorlighetsgraden av emaljehypoplasi hos barn variere. Milde grader er kanskje ikke veldig tydelige og kan bare oppdages av tannlegen.
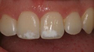
Men i andre tilfeller er det foreldrene som legger merke til tegnene på problemet i tennene til de små. Hvite flekker eller prikker, linjer, sprekker, groper, riller eller bulker på overflaten av emaljen kan observeres. I tillegg er teksturen til defekten grov.
Det er tilfeller der emaljehypoplasi hos barn ser gulaktig eller brunaktig ut, ettersom det underliggende dentinet er avdekket. Og i sjeldnere tilfeller kan formen på tannen bli endret. Selv når lidelsen er svært alvorlig, kan det være totalt fravær av emalje og tennene ser mindre og mer deformerte ut enn de andre.
Når emaljen er kompromittert, kan noen ekstra komplikasjoner oppstå, for eksempel myke tenner, tannfølsomhet og en større disposisjon for å lide av hull og gingivitt. Siden de har mindre beskyttelse mot syrer og en større tilstedeværelse av strukturelle defekter, letter det oppsamling av bakterielt plakk.
Årsakene til emaljehypoplasi
Noen ganger er det vanskelig å finne årsaken som gir opphav til emaljehypoplasi hos barn, da problemet oppstår under utviklingen av tennene i tannkjøttet.
Mesteparten av tiden er det situasjoner eller tilstander som oppstår i de første årene av barnets liv som forårsaker dette problemet. Dette er noen av de vanlige omstendighetene som kan forårsake emaljehypoplasi:
- Problemer under graviditet: Tannelementene begynner å dannes mens barnet fortsatt er i mors liv. Visse sykdommer hos moren, som infeksjoner med høy feber, inntak av visse medisiner eller ernæringsmessige mangler under svangerskapet kan forårsake emaljehypoplasi hos fosteret i utvikling.
- Problemer i tidlig barndom: For tidlige fødsler, lav fødselsvekt, vitaminmangel, underernæring, infeksjoner, langvarige febersyndromer eller systemiske sykdommer i tidlig alder kan forårsake denne tannfeilen.
- Skader: Slag mot munnen i barndommen kan påvirke melketannen og, gjennom roten, skade den permanente tannen som dannes under. Den permanente tannen vil være den som har hypoplasi ved frembrudd.
- Arvelighet: Noen arvelige genetiske mønstre kan påvirke tanndannelsen. Noen ganger er det til stede i en enkelt tann, og andre ganger er flere tenner involvert. I noen tilfeller er det til og med forbundet med andre symptomer som utgjør et mer komplekst syndrom.
Behandling av emaljehypoplasi hos barn
Å oppdage dental hypoplasi hos barn tidlig gjør at problemet kan løses før komplikasjoner oppstår. Av denne grunn er regelmessige konsultasjoner og kontroller hos barnetannlegen avgjørende.
Ved rutineundersøkelser vil fagpersonen kunne finne eventuelle bevis på feilen og handle tidlig. Avhengig av hvilket tannsett som er berørt, det midlertidige eller permanent, vil størrelsen og utseendet på lesjonen avgjøre prosedyrene som skal brukes.
Tannleger har flere alternativer for å behandle emaljehypoplasi hos barn. Når defekter oppstår i melketenner, bestemmer fagfolk seg vanligvis for å kontrollere situasjonen, opprettholde grundig munnhygiene og utføre hyppige påføringer med fluor. På denne måten prøver vi å unngå komplikasjoner av lidelsen, som hull, gingivitt og sensitivitet.
Hvis selvtilliten til barnet blir svært påvirket av utseendet til tennene, kan man ty til noen estetiske prosedyrer som passer for deres alder.
Ved permanente tenner velger man vanligvis bruk av fyllinger. Ufullkommenheter blir dekket med et fyllmateriale av samme farge som tennene som god stand er i.
Når flekkene er svært merkbare, kan dental mikroabrasjon brukes. Dette er en prosedyre der tannemaljen poleres og deretter dekkes med fyllinger av samme farge som den vanlige tannen.
I de mest alvorlige situasjonene, der tennene har mistet mye av emaljen eller er deformert, er rekonstruksjoner med fyllinger passende. I hvert fall inntil barnet når en passende alder for å ty til en annen type estetisk behandling.
Tannbleking og porselenskroner er estetiske behandlinger som er nyttige for å forbedre utseendet til tenner med emaljehypoplasi, men bruken av dem anbefales ikke før i voksen alder.

Handle raskt
Emaljehypoplasi hos barn, mesteparten av tiden, kan ikke forhindres, men hvis du oppdager noen tegn som gjør at du mistenker at den lille lider av dette problemet, er det best å søke profesjonell hjelp så snart som mulig. Jo før det blir diagnostisert og behandlet, jo mindre risiko for komplikasjoner vil det være.
I tillegg er munnhelsehjelp med riktig munnhygiene, et sunt kosthold og regelmessige besøk til pediatrisk tannlege nøkkelen til å unngå negative konsekvenser. Med denne grunnleggende omsorgen kan du beskytte emaljen på barnets tenner og hjelpe dem med å få et sunt smil.
Tannavvik og tannfeil er lidelser som påvirker mange barn og bekymrer foreldrene deres. Et eksempel på dette er emaljehypoplasi hos barn.
Dette problemet i munnen endrer ikke bare tennenes estetiske utseende, men disponerer også barna for å lide av andre problemer, for eksempel hull eller tannfølsomhet.
Derfor er det viktig å stille en tidlig diagnose og utføre rettidig behandling. På den ene siden for å forbedre livskvaliteten til barnet, og på den andre for å unngå problemer i fremtiden. Fortsett å lese!
Hva er emaljehypoplasi hos barn?
Emaljehypoplasi hos barn er et problem i utviklingen av emaljen. De som lider av denne tilstanden har en eller flere tenner med en lavere mengde av dette vevet eller med lav kvalitet på det.
Generelt skjer det når tennene blir dannet, det vil si før de bryter ut i munnen. Derfor oppdages det ofte i tidlig alder når tennene nettopp har brutt ut.
For bedre å forstå denne lidelsen, er det viktig å vite at emalje er det ytterste og mest overfladiske vevet av tennene. Det består i stor grad av kalsiumkrystaller og andre mineraler, og regnes som det hardeste og mest motstandsdyktige materialet i kroppen. Dens hovedfunksjon er å dekke og beskytte tennene.
Så ved emaljehypoplasi er emaljen utilstrekkelig eller svekket. Som vi skal fortelle deg senere, kan forskjellige faktorer endre utviklingsprosessen til tennene og forårsake dette problemet.
Graden av emaljehypoplasi hos barn varierer i henhold til alvorlighetsgraden av problemet. I noen tilfeller er det veldig tydelig, og andre ganger blir det bare oppdaget av en ekspert i pediatrisk tannpleie. La oss se nærmere på tegnene og symptomene.

Hva er symptomene på emaljehypoplasi hos barn?
Som vi allerede har nevnt, kan alvorlighetsgraden av emaljehypoplasi hos barn variere. Milde grader er kanskje ikke veldig tydelige og kan bare oppdages av tannlegen.
Men i andre tilfeller er det foreldrene som legger merke til tegnene på problemet i tennene til de små. Hvite flekker eller prikker, linjer, sprekker, groper, riller eller bulker på overflaten av emaljen kan observeres. I tillegg er teksturen til defekten grov.
Det er tilfeller der emaljehypoplasi hos barn ser gulaktig eller brunaktig ut, ettersom det underliggende dentinet er avdekket. Og i sjeldnere tilfeller kan formen på tannen bli endret. Selv når lidelsen er svært alvorlig, kan det være totalt fravær av emalje og tennene ser mindre og mer deformerte ut enn de andre.
Når emaljen er kompromittert, kan noen ekstra komplikasjoner oppstå, for eksempel myke tenner, tannfølsomhet og en større disposisjon for å lide av hull og gingivitt. Siden de har mindre beskyttelse mot syrer og en større tilstedeværelse av strukturelle defekter, letter det oppsamling av bakterielt plakk.
Årsakene til emaljehypoplasi
Noen ganger er det vanskelig å finne årsaken som gir opphav til emaljehypoplasi hos barn, da problemet oppstår under utviklingen av tennene i tannkjøttet.
Mesteparten av tiden er det situasjoner eller tilstander som oppstår i de første årene av barnets liv som forårsaker dette problemet. Dette er noen av de vanlige omstendighetene som kan forårsake emaljehypoplasi:
- Problemer under graviditet: Tannelementene begynner å dannes mens barnet fortsatt er i mors liv. Visse sykdommer hos moren, som infeksjoner med høy feber, inntak av visse medisiner eller ernæringsmessige mangler under svangerskapet kan forårsake emaljehypoplasi hos fosteret i utvikling.
- Problemer i tidlig barndom: For tidlige fødsler, lav fødselsvekt, vitaminmangel, underernæring, infeksjoner, langvarige febersyndromer eller systemiske sykdommer i tidlig alder kan forårsake denne tannfeilen.
- Skader: Slag mot munnen i barndommen kan påvirke melketannen og, gjennom roten, skade den permanente tannen som dannes under. Den permanente tannen vil være den som har hypoplasi ved frembrudd.
- Arvelighet: Noen arvelige genetiske mønstre kan påvirke tanndannelsen. Noen ganger er det til stede i en enkelt tann, og andre ganger er flere tenner involvert. I noen tilfeller er det til og med forbundet med andre symptomer som utgjør et mer komplekst syndrom.
Behandling av emaljehypoplasi hos barn
Å oppdage dental hypoplasi hos barn tidlig gjør at problemet kan løses før komplikasjoner oppstår. Av denne grunn er regelmessige konsultasjoner og kontroller hos barnetannlegen avgjørende.
Ved rutineundersøkelser vil fagpersonen kunne finne eventuelle bevis på feilen og handle tidlig. Avhengig av hvilket tannsett som er berørt, det midlertidige eller permanent, vil størrelsen og utseendet på lesjonen avgjøre prosedyrene som skal brukes.
Tannleger har flere alternativer for å behandle emaljehypoplasi hos barn. Når defekter oppstår i melketenner, bestemmer fagfolk seg vanligvis for å kontrollere situasjonen, opprettholde grundig munnhygiene og utføre hyppige påføringer med fluor. På denne måten prøver vi å unngå komplikasjoner av lidelsen, som hull, gingivitt og sensitivitet.
Hvis selvtilliten til barnet blir svært påvirket av utseendet til tennene, kan man ty til noen estetiske prosedyrer som passer for deres alder.
Ved permanente tenner velger man vanligvis bruk av fyllinger. Ufullkommenheter blir dekket med et fyllmateriale av samme farge som tennene som god stand er i.
Når flekkene er svært merkbare, kan dental mikroabrasjon brukes. Dette er en prosedyre der tannemaljen poleres og deretter dekkes med fyllinger av samme farge som den vanlige tannen.
I de mest alvorlige situasjonene, der tennene har mistet mye av emaljen eller er deformert, er rekonstruksjoner med fyllinger passende. I hvert fall inntil barnet når en passende alder for å ty til en annen type estetisk behandling.
Tannbleking og porselenskroner er estetiske behandlinger som er nyttige for å forbedre utseendet til tenner med emaljehypoplasi, men bruken av dem anbefales ikke før i voksen alder.

Handle raskt
Emaljehypoplasi hos barn, mesteparten av tiden, kan ikke forhindres, men hvis du oppdager noen tegn som gjør at du mistenker at den lille lider av dette problemet, er det best å søke profesjonell hjelp så snart som mulig. Jo før det blir diagnostisert og behandlet, jo mindre risiko for komplikasjoner vil det være.
I tillegg er munnhelsehjelp med riktig munnhygiene, et sunt kosthold og regelmessige besøk til pediatrisk tannlege nøkkelen til å unngå negative konsekvenser. Med denne grunnleggende omsorgen kan du beskytte emaljen på barnets tenner og hjelpe dem med å få et sunt smil.
Alle siterte kilder ble grundig gjennomgått av teamet vårt for å sikre deres kvalitet, pålitelighet, aktualitet og validitet. Bibliografien i denne artikkelen ble betraktet som pålitelig og av akademisk eller vitenskapelig nøyaktighet.
- Gamboa Valdez, M. R. (2016). hipoplasia del esmalte en paciente de 6 años sexo masculino. analisis de caso (Bachelor’s thesis, Universidad de Guayaquil. Facultad Piloto de Odontología).
- Margot, N. C. A., & Rubén, M. S. (2014). Tratamiento estético conservador con microabrasión sobre hipoplasias del esmalte en dientes permanentes jóvenes. Revista Tamé, 271-274.
- Silva, S. M. B. D., Lanza, C. R. M., Oliveira, F. S. D., & Machado, M. A. D. A. M. (1999). Tratamiento de hipoplasia del esmalte con la técnica de microabrasión en odontopediatría. Revista Odontológica Dominicana, 5(1), 9-14.
- Molina Morales, H., & Galván Calle, M. (2008). TRATAMIENTO DE DIENTES PERMANENTES JÓVENESCON HIPOPLASIA DEL ESMALTE. REPORTE DE CASO.
- Páucar, M. Á., Gonzales, K. Q., Cruces, V. R., & Obregón, R. M. C. (2009). Microabrasión dental para pacientes odontopediátricos: Una alternativa estética. Odontología sanmarquina, 12(2), 86-89.
- Ancco Olaguivel, N. R. (2017). Relación de la ingesta de amoxicilina con la hipoplasia de esmalte en niños de 7-10 años del hospital Rafael Ortiz Ravinez Juli–2016.
- Salazar, J. F. T., & Ortega, D. R. (2017). Signos dentales de la sífilis congénita. Revista Asociación Dental Mexicana, 74(6), 286-292.
- Poma Torres, E. M. (2021). Manejo y protocolo de atención de la hipoplasia en niños (Bachelor’s thesis, Universidad de Guayaquil. Facultad Piloto de Odontología).
- Rivera Molina, D., & Jiménez del Río, P. (2015). Hipoplasia del esmalte y su asociación con caries en niños de 5 a 14 años, en la provincia de Talca, 2015 (Doctoral dissertation, Universidad de Talca (Chile). Escuela de Odontología.).
- Ochoa Enríquez, K. J. (2015). Hipoplasias localizadas en los primeros molares permanentes y su tratamiento (Bachelor’s thesis, Universidad de Guayaquil. Facultad Piloto de Odontología).
Denne teksten tilbys kun til informasjonsformål og erstatter ikke konsultasjon med en profesjonell. Ved tvil, konsulter din spesialist.







